BLog

One of the best parts of our job as veterinary professionals is to help educate clients on how to keep their pets healthy so they may remain part of the family for as long as possible. That’s what our blog is all about. Check back often or search for topics of interest.

Health Tips, Urgent Care and Emergency Services, Veterinary Care, Wellness Care

If you share your home with an exotic pet, you already know they come with a lot of personality. Rabbits, guinea pigs, birds, reptiles, and other small companions...

Fear Free Veterinarian, Health Tips, Surgery, Veterinary Care, Wellness Care

By Ayanna Revnell, CVT Veterinary visits can be stressful for many pets. The unfamiliar environment, new smells, sounds, and past experiences can trigger fear and anxiety. Fortunately, there...

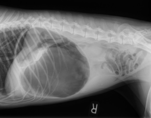
Surgery, Urgent Care and Emergency Services

A prophylactic gastropexy is a preventive surgical procedure that tacks the stomach to the abdominal wall to stop it from twisting. This twist, known as Gastric Dilatation Volvulus...

Feline Health, Health Tips

Feline asthma is a common respiratory condition in cats, but it’s one that often goesunrecognized at first. We have our fair share of asthmatic cats at Animal Hospital...

Meet The Team, Urgent Care and Emergency Services, Veterinary Care

By: Arianna My day usually starts before our doors open. There are voicemails that need to be listened to, emails that need to be reviewed, messages waiting for...

Feline Health, Health Tips, Puppy/Kitten Care, Wellness Care

The holidays are a wonderful time to welcome a new puppy or kitten into your home, however, along with the excitement, there’s also some uncertainty. At Animal Hospital...

string(133) "background-color: #30d5c8;-webkit-border-radius: 20%; -moz-border-radius: 20%; border-radius: 20%;opacity: 1;right:30px;bottom:120px;"